Unsere Leistungen
Ästhetische Zahnheilkunde
Ihr Weg zum strahlenden Lächeln

Bleaching

Ein strahlendes Lächeln wirkt sympathisch und selbstbewusst. Durch professionelles Home-Bleaching können schonend und sicher Verfärbungen der Zähne entfernt werden, die durch Kaffee, Tee, Rotwein oder Nikotin entstanden sind. Wir fertigen für Sie individuell angepasste Bleaching-Schienen an, die Sie bequem zu Hause anwenden können. Die Behandlung erfolgt unter unserer zahnärztlichen Begleitung – das sorgt nicht nur für ein besonders gleichmäßiges Ergebnis, sondern auch für Sicherheit und Langlebigkeit. Bereits nach wenigen Anwendungen können die Zähne deutlich heller erscheinen.
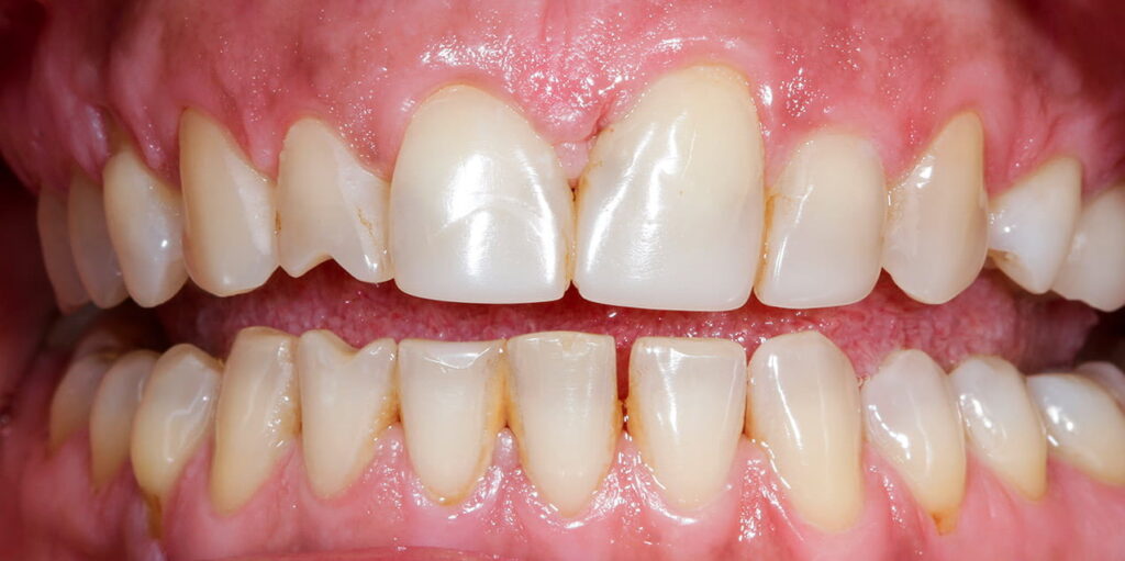
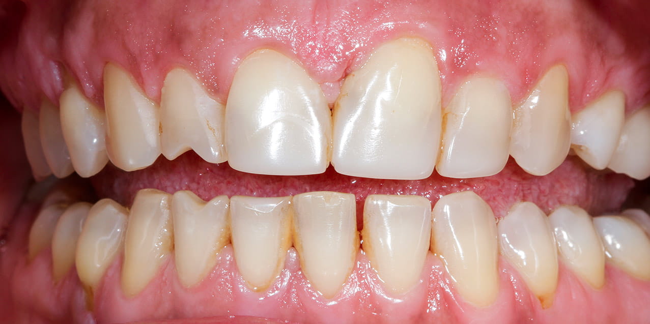
Veneers

Veneers sind hauchdünne Keramikschalen, die dauerhaft auf die Vorderseite der Zähne aufgebracht werden. Sie eignen sich ideal, um kleine Schönheitsfehler wie abgebrochene Ecken, Verfärbungen, unregelmäßige Zahnformen oder Lücken zu korrigieren. Das Ergebnis wirkt vollkommen natürlich, da die lichtdurchlässigen Keramikschalen die Farbe und Struktur echter Zähne nachahmen. Veneers sind langlebig, stabil und ermöglichen ein perfektes Lächeln, ohne viel Zahnsubstanz abzuschleifen.

Ablauf eines Bleachings
Damit Sie genau wissen, was Sie erwartet: In diesem Video erklären wir Ihnen Schritt für Schritt, wie ein professionelles Bleaching funktioniert und wie wir Ihre Zähne schonend und sicher aufhellen.
Häufig gestellte Fragen zur Ästhetischen Zahnheilkunde
Hier finden Sie Antworten auf häufig gestellte Fragen zur Ästhetischen Zahnheilkunde
Ist Bleaching schädlich für die Zähne?
Nein, bei fachgerechter Durchführung ist Bleaching völlig unbedenklich. Der Zahnschmelz wird nicht angegriffen und das Zahnfleisch wird geschützt.
Wie lange hält das Ergebnis eines Bleachings?
Je nach Lebensgewohnheiten (Kaffee, Tee, Rauchen) hält das Ergebnis etwa 2–4 Jahre. Regelmäßige Zahnreinigung verlängert die Haltbarkeit.
Verfärben sich Veneers mit der Zeit?
Nein – hochwertige Keramikveneers sind farbstabil. Anders als natürliche Zähne verfärben sie sich nicht durch Kaffee, Tee oder Nikotin.
Wie werden Veneers befestigt?
Veneers werden mit einer speziellen, sehr haltbaren Klebetechnik dauerhaft auf die Zahnoberfläche aufgebracht. Dafür wird die Vorderseite des Zahnes minimal vorbereitet (ganz leicht angeschliffen), sodass das Veneer perfekt passt. Anschließend wird es mit einem speziellen Dentalkleber fest verbunden – ähnlich wie eine Art „Hochleistungssekundenkleber“ für die Zahnmedizin. Das Ergebnis ist stabil, langlebig und fühlt sich an wie ein natürlicher Zahn.
